在PCBA加工中根據實際需求不同需要用到不同的檢測儀器,下面深圳宏力捷為大家介紹下PCBA加工中常見的檢測儀器的使用方法和判斷規格:
六、X-Ray
使用步驟
1. 將待測物放入機臺平臺(若有需要旋轉時需固定)。
2. 調整power & X-Ray head高度。
3. 選擇Solder Ball中最大Void并量測其面積。
應用范圍
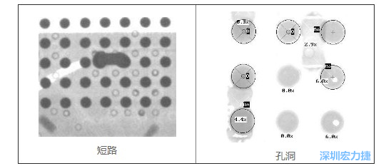
1. 檢視BGA短路。
2. 檢視Solder Ball的Void。
3. 若為明顯空焊時亦可以看出。
4. BGA缺球。
判斷案例
判定規格
Void Spec.(IPC7095):
1. class 1:
in solder ball center:D<60%;A<36%
inpad(PCB&BGA):D<50%;A<25%
2. class 2:
in solder ball center:D<45%;A<20.25%
in pad(PCB&BGA):D<35%;A<12.25%
3. class3:
in solder ball center:D<30%;A<9%
in pad(PCB&BGA):D<20%;A<4%
使用步驟
1. 將待測物放入機臺平臺。
2. 以游標點選基準點與待測區。
3. 按”Run”key自動量測錫膏印刷質量。
應用范圍
1. 錫膏厚度,面積,體積量測。
2. 3D模擬(可用以判定印刷質量,如錫尖)。
3. SPC統計。
判斷案例
七、錫膏印刷檢查機(ASC)
判定規格
依目前廠內錫膏厚度量測標準(0.175~0.191mm)
八、480倍鋼板檢查機
使用步驟
1. 將待測物放入機臺平臺。
2. 將倍率調整到40*1或40*2倍率。
3. 調整屏幕畫面至最清晰時,進行畫面擷取與量測開孔尺寸,并觀察其孔壁狀況。
應用范圍
1. 鋼板開孔與缺角之尺寸量測。
2. 鋼板孔壁毛邊檢視(360°&34度角檢視功能)。
判斷案例
判定規格
1. 鋼板開孔之尺寸:
uBGA與IC類零件(如TSOP,QFP...):<±7um
其他零件開孔:<±10um
2. 缺角:<11um
3. 其他規格請依Stencil Design Rule
使用步驟
1. 取回功能性測試(F/T)正常之主板。
2. 進行熱機,經過六天熱機測試后,若為正常再將主板裝箱進行振動實驗2小時(x,y及z各2小時)。
3. 當進行完振動實驗后,將主板取出再做功能性測試及熱機8小時以確保主板是否功能正常。
4. 若功能測試為正常就送回在線,反之則立即針對此機種大量進行振動測試以尋求解決方式。
應用范圍
1. 產品可靠度抽檢。
2. 新制程,新錫膏與新材料測試。
判定規格
測試零件與基板忍受10至55Hz振動之能力。倘若在振動試驗后,發現破裂現象或其它足以影響正常功能之要求時,該零件或基板即不合格。
九、ORT
使用步驟
1. 在生產線測試完后,每條線以逐次抽樣5PCS(M/B)。
2. 試驗環境溫度為攝氏45℃,30%RH,加速因子為3.4倍速。
3. 約6天(144小時)驗證時間,將檢查結果記錄于ORTchart中(每日登記一次),并判別其坐標座落于何區域。
4. 當其坐標位于繼續試驗區時,則繼續進行此試驗。
5. 當其坐標位于允收區時,即達到水平,并停止此試驗。
6. 當其坐標位于拒收區時,分析不良之原因。
應用范圍
1. 產品可靠度抽檢。
2. 新制程,新錫膏與新材料測試。
判斷案例

深圳宏力捷推薦服務:PCB設計打樣 | PCB抄板打樣 | PCB打樣&批量生產 | PCBA代工代料
